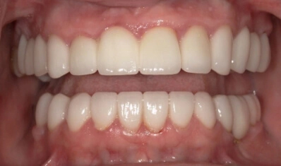
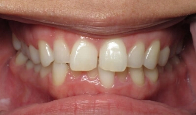
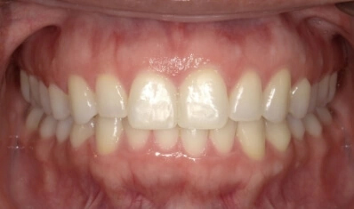
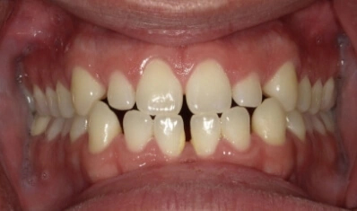
Creating Healthy, Confident Smiles
At Stunning Smiles, you can get straighter teeth, a healthier smile, and an aligned bite to keep oral health problems at bay. With a long list of preventive and restorative. treatments, our Las Vegas dentists can help close unwanted gaps, detect disease early on, and offer exceptional oral heath care, so you can smile with confidence!




















